OCT-Angiographie-Modul
Darstellung von Blutgefäßen aus OCT-Bildern
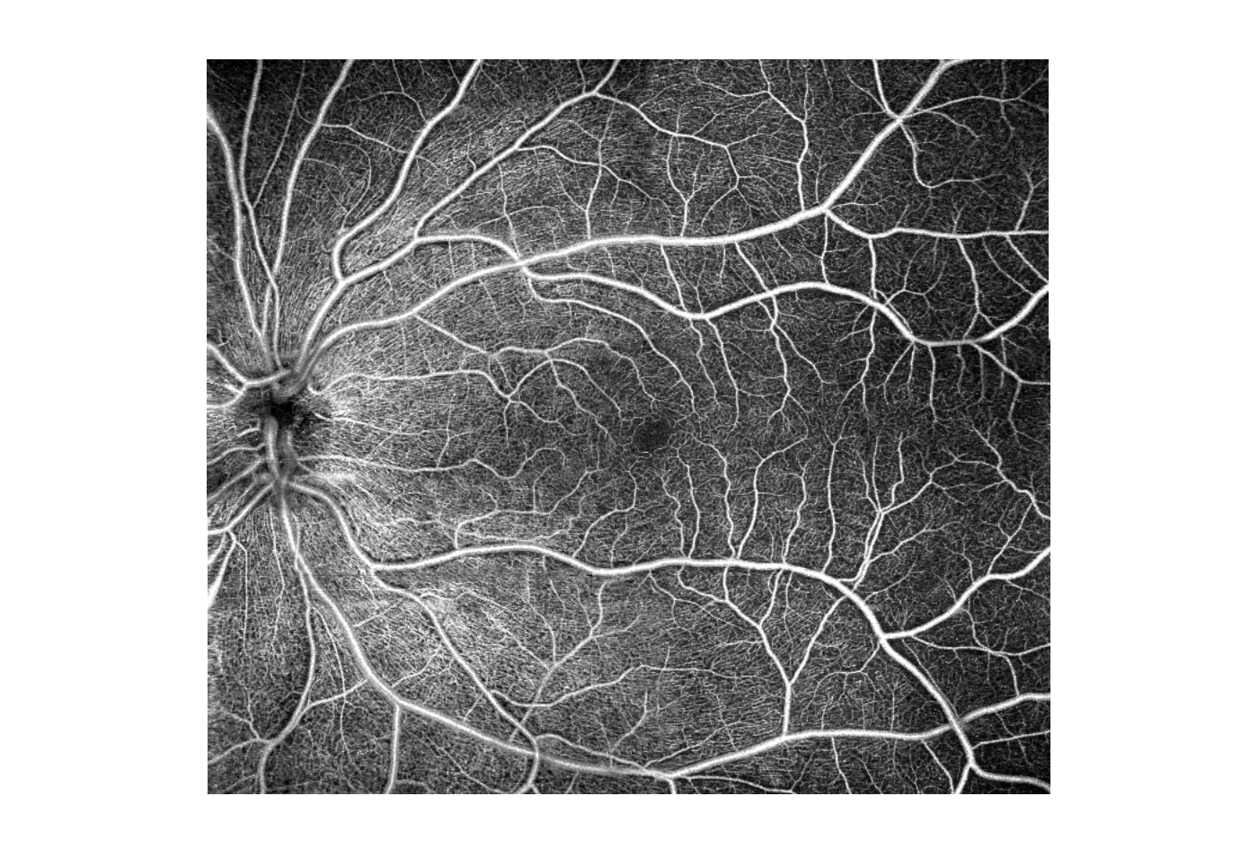
OCT-Angiographie:
Imaging-Processing zur Darstellung von Blutgefäßen aus OCT-Bildern. Es ermöglicht eine klare Visualisierung des mikrovaskulären Blutflusses mittels nicht-invasiver OCT-Angiographie. Die OCT-Angiographie ermöglicht die Visualisierung von perfundierten Gefäßen und Gefäßanomalien der Netzhaut ohne Kontrastmittel. Blutgefäße können in einer bestimmten Gefäßschicht beobachtet werden. Es ermöglicht dem Arzt die Beurteilung der Mikrozirkulation bei Augenerkrankungen mit mikrovaskulären Details.
Hersteller: OPTOPOL Technology S.A. | ul. Zabia 42, 42-400 Zawiercie, PL | optopol@optopol.com.pl
Produkt-Highlights
- Sehr schneller Scan (drei Sekunden)
- Problemlos nachrüstbar (ab 80.000 A-Scans/sec)
- Sehr große Anzahl an Auswertungen
- Mosaik-Funktion
- Motion-Artefakt-Korrektur
- Projektions-Artefakt-Korrektur
Verfügbare Scan-Bereiche:
- Retina: 3 x 3 mm, 5 x 5 mm, 6 x 6 mm, 7 x7 mm, 8 x 8 mm, 9 x 9 mm
- Sehnerv: 4 x 4 mm, 5 x 5 mm, 6 x 6 mm
Mosaik-Scan-Bereiche:
- Vordefinierte Auto-Bereiche: 10 x 6 mm, 12 x 5 mm, 7 x 7 mm, 10 x 10 mm
- Manueller Bereich bis 18 x18 mm
Vordefinierte wählbare Schichten:
- Retina-Angiogramm der gesamten Retina
- Vitreous-Retina oberhalb der ILM
- Farbkodierte Darstellung der Retina
- Superficial Plexus
- Deep: tiefer kapillarer Plexus
- Outer: avaskuläre Zone
- Choriocapilaries-Choroidal-Kapillare-Zone
- Choroid-Choroidale Gefäße
- Custom: es ist möglich, beliebige Grenzen auszuwählen / festzulegen
Angio-Mosaik Auswertungen:
- Vaskulär und Enface: Vitreous, Superficial, RCP, Deep, Outer, Choriocapilaries, Choroid, Custom
- Dickenkarten: Retinale Dicke, RNFL-Dicke
Darstellungen:
1. Standard-Einzeldarstellung

2. Detail-Einzeldarstellung

3. Links/Rechts-Darstellung

4. Vergleichsdarstellung

5. Verlaufsdarstellung

6. Quantifizierung: FAZ (Foveal Avascular Zone)

7. Quantifizierung: VFA (Vascular Flow Area)

8. Quantifizierung: Vessel & Skeleton Area Density

Verfügbare Einstellungen:
- Vaskuläre Schichten
- Retinale Grenzschichten
- Es ist möglich, die Tiefe zu ändern (Position von zwei Grenzen synchron)
- Es ist möglich, die Tiefenposition der oberen und unteren Grenze zu ändern
- Jede Ansicht ist in jedem der fünf Ansichtsfenster verfügbar
- Angio-Modul
- Mosaik-Modul
- Software Paket zur Auswertung
- Deutsche Bediensoftware